Revesby Dental Centre

Mon to Fri 9AM - 6PM

|

Sat 8:30AM - 12:30PM

|

Sun CLOSED

24 Marco Ave, Revesby, NSW 2212

Denture-icon
Dentures
Dentures_1

Complete Dentures

Dentures are a cost-effective option to replace teeth that may have been lost due to tooth decay, trauma, or gum disease. Complete dentures are used when all the teeth are missing.

Complete dentures are a solution for a full arch of missing teeth. Designed to be functional and natural-looking, they can help improve chewing and speaking abilities. Restoring your smile with dentures may also help to enhance your confidence.

Partial Dentures

Partial dentures are used when some natural teeth remain. They are removable and are made to match your natural teeth, giving you back your signature smile. While you may not be worried about a missing tooth or are a few missing teeth, it is important to replace missing teeth for a number of reasons.

It is important to consider replacing missing teeth for several reasons, as they can cause strain on remaining teeth and contribute to wear and tear. Partial dentures are a removable option that can help to restore the appearance and function of your smile. During a consultation, we can discuss how this solution can be tailored to your specific needs.

Partial dentures are an affordable, natural looking way to shape your face and support your remaining teeth, allowing a return to a fully functioning mouth.

Dentures_2

We'll Help You Take Care of Your Smile

We offer a 10% discount on our prices for Seniors 
(excluding Prosthodontics).

Dentures_4

Other Areas We Serve Across Sydney and Beyond

Accreditations

Revesby Dental Centre

ADA_Logo
Bupa_Logo
Medi_Logo
Nicaps_Logo

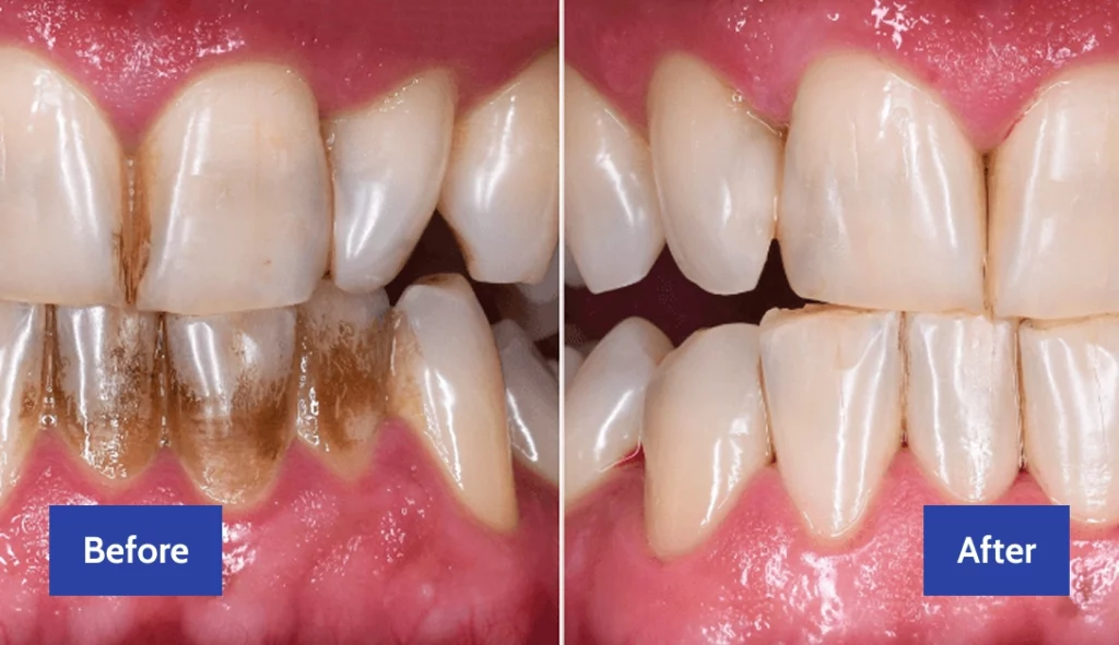
Smile Gallery

Our Staff Is Specially Trained and Qualified

Book an Appointment

Use the form below to drop us an email if you have any question or comments.

We offer a 10% discount on our prices for Seniors (excluding Prosthodontics).

Dentures_3

Easily Schedule Your 
Dental Appointments

We offer a 10% discount on our prices for Seniors 
(excluding Prosthodontics).

Schedule_1